補綴治療の45%は、前処置としての歯牙移動によって治療効果の向上が期待されます1




「先に歯列を整えることで、 治療成果の向上が期待できます」
Dr Masami Arai、日本


補綴修復歯科関連資料 を確認する


eBook :患者さまにとって「予後の改善が期待できる補綴修復物」の価値を再定義する
患者さまの治療への投資意欲を高めるために、長期的な利益への理解を促し、視覚化機能を活用して選択肢を広げる方法をご紹介します。


治療ガイド モジュール1:
包括的歯科医療に向けた、
アライナー治療による歯牙の再配列
歯牙移動が口腔衛生、審美性および機能に与える影響を紹介しています。
クリニックに「補綴修復治療の前処置としての歯牙移動」を導入する目的とは?


治療成果の長期的持続と安定化を図る
補綴修復治療の前処置としての歯牙移動は、不正咬合による干渉の予防、過剰接触の解消、安定した咬合基盤の確立、補綴修復物の機能の安定化と寿命の維持に配慮しやすくなり、計画立案に資することがあります。2,3,4


高まるニーズに応える
現代の患者さまは、天然歯の組織を保存し、補綴修復物の長期予後を意識した低侵襲治療に価値を感じており、包括的治療への投資意欲を持っています。


診療拡大を支援する
補綴修復治療の45%が、歯牙移動によりメリットを得られる可能性があります。1また、治療の選択肢も広がります。


治療成果の長期的持続と安定化を図る
補綴修復治療の前処置としての歯牙移動は、不正咬合による干渉の予防、過剰接触の解消、安定した咬合基盤の確立、補綴修復物の機能の安定化と寿命の維持に配慮しやすくなり、計画立案に資することがあります。2,3,4


高まるニーズに応える
現代の患者さまは、天然歯の組織を保存し、補綴修復物の長期予後を意識した低侵襲治療に価値を感じており、包括的治療への投資意欲を持っています。


診療拡大を支援する
補綴修復治療の45%が、歯牙移動によりメリットを得られる可能性があります。1また、治療の選択肢も広がります。
症例紹介:補綴修復治療の前処置としての歯牙移動がもたらす臨床的影響に関する所見
本症例では、前歯のインプラント埋入に向け、インビザライン® システムを用いてスペースを形成した。


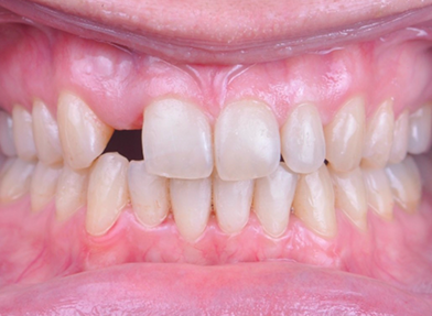
初診時:
本患者はクラスⅠ不正咬合、叢生、切端咬合、右上2番欠損、歯列弓狭窄を呈した。主要治療目標は、右上2番のインプラントスペース形成とした。


補綴修復治療の前処置としての歯牙移動後:
上顎歯列弓の拡大および、近遠心的傾斜移動を伴わない上顎前歯の唇側傾斜移動により、6mmのインプラントスペースを形成した。


インプラント埋入と補綴修復治療の仕上げ:
切歯の形状が非対称であったため、インプラント治療後、患者の希望によりポーセレンラミネートべニアを上顎両側1番および左上2番に装着した。


初診時:
本患者はクラスⅠ不正咬合、叢生、切端咬合、右上2番欠損、歯列弓狭窄を呈した。主要治療目標は、右上2番のインプラントスペース形成とした。


補綴修復治療の前処置としての歯牙移動後:
上顎歯列弓の拡大および、近遠心的傾斜移動を伴わない上顎前歯の唇側傾斜移動により、6mmのインプラントスペースを形成した。


インプラント埋入と補綴修復治療の仕上げ:
切歯の形状が非対称であったため、インプラント治療後、患者の希望によりポーセレンラミネートべニアを上顎両側1番および左上2番に装着した。
*症例提供:Dr.Cihan Capan,トルコhttps://alignglobalgallery.com/で類似症例をご覧いただけます。
本症例は一例であり、すべての患者さまに同様の治療結果を保証するものではございません。治療の適応や結果は個々の患者さまの状態により異なります。最終的な治療方針は、担当医師の診断および患者さまとのご相談のうえでご判断いただく必要があります。
大多数のドクターが「インビザライン®治療により補綴修復治療を補完する」と考えています。
調査に参加した歯科医師の88%が、各種補綴修復治療の開始に先立ち歯牙位置を適正化する必要があると考えています。5
調査に参加した歯科医師の96%が、補綴修復治療の前処置としてインビザライン®治療を適用しています。6
調査に参加した歯科医師の88%が、各種補綴修復治療の開始に先立ち歯牙位置を適正化する必要があると考えています。5
調査に参加した歯科医師の96%が、補綴修復治療の前処置としてインビザライン®治療を適用しています。6
学習リソースにより段階的な習熟を支援します。
診療を変えるための3ステップ


1.個人情報の登録
簡単な登録フォームにご記入いただいた後、弊社からご連絡いたします。
2.インビザライン® ドクター認定
オンライントレーニングコースの受講、学習内容を実践した1症例の症例提出が要件となります。
3.患者さまの治療開始
インビザライン®・システム7を患者さまにご提供いただけます。


1.個人情報の登録
簡単な登録フォームにご記入いただいた後、弊社からご連絡いたします。
2.インビザライン® ドクター認定
オンライントレーニングコースの受講、学習内容を実践した1症例の症例提出が要件となります。
3.患者さまの治療開始
インビザライン®・システム7を患者さまにご提供いただけます。







